Publications
Highlights from recent publications

Treponema phagedenis (Tphg), T.medium (Tmed), and T. pedis (Tmed) detectable by qPCR in digital dermatitis negative and affected herds. M0: healthy hoof cleft skin, M2: active DD lesion, M4: chronic DD lesion. Dias et al., JDS, Dec. 2023

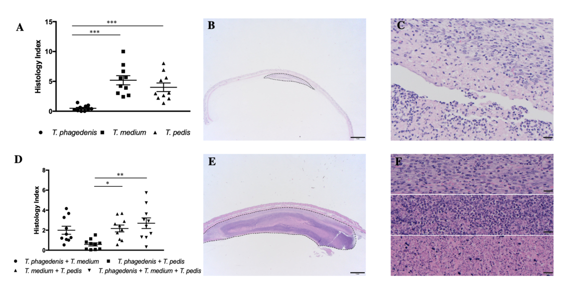
Histopathology of lesions after subcutaneous inoculation with Treponema spp. (haematoxylin and eosin staining). Arrazuria et al. 2020. Microorganisms.

Core SNP-based phylogenetic tree of distribution of sequence types (STs), clonal complexes (CCs), and spa types of bovine S. aureus isolates. <http://www.ncbi.nlm.nih.gov/pmc/articles/PMC7343304/>Naushad et al. MSystems. 2020

https://pubmed.ncbi.nlm.nih.gov/29411859/ | Drikic and De Buck, 2018, Biotechnology and Bioengineering